傳統矯正 | 陳皓 醫師

首頁 /案例分享/齒顎矯正/傳統矯正 | 陳皓 醫師

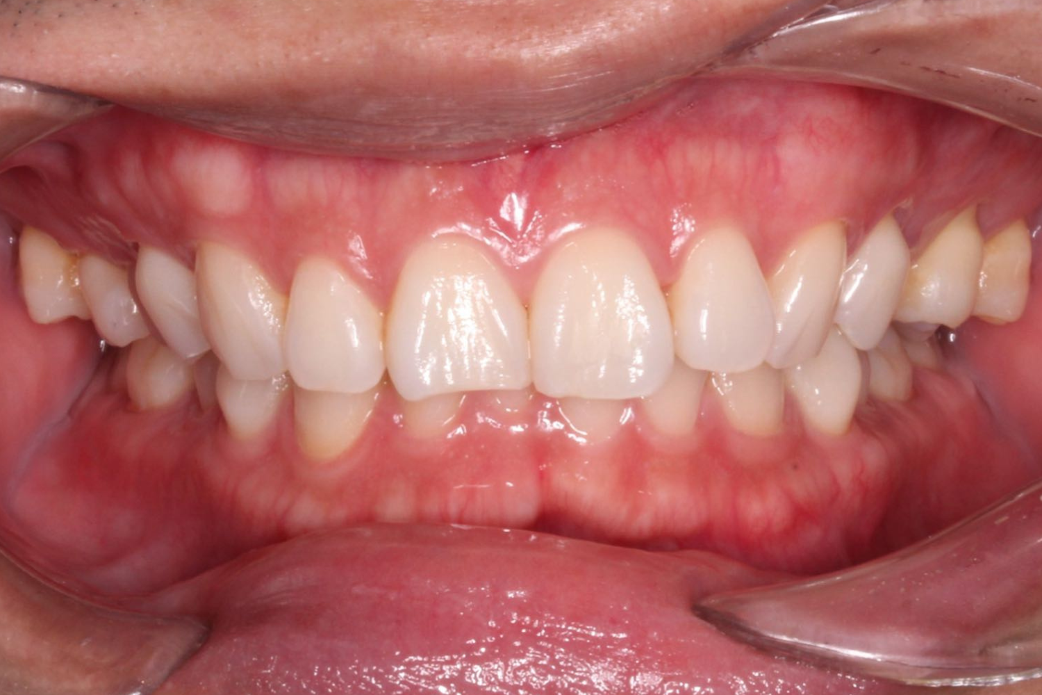
病人主訴是想矯正牙齒凌亂等問題,經檢查後發現病人還有深咬(deep bite)及剪刀咬合(scissor bite)的狀況,建議病人可以利用全口矯正一起處理口內問題

🔺剪刀咬合(Scissor bite ):上下牙齒咬合異常可能會造成過度磨耗或牙齒斷裂,因牙齒位置歪斜,也可能會有清潔上的困難而增加蛀牙及牙周病的風險

🔺深咬(deep bite):上下門牙重疊過多,通常上前牙幾乎覆蓋下前牙,甚至咬到下顎牙齦。這種咬合異常可能帶來多種影響,包括功能性問題和健康風險。
1.
牙齒損傷與磨耗

下前牙可能會撞擊到上顎牙齦,導致牙齦退縮或潰瘍。

牙齒長期磨損,可能導致牙釉質受損、敏感甚至裂開。

2. 顳顎關節(TMJ)問題

長期不良咬合可能導致下顎壓力不均,引起顳顎關節疼痛、咬合異常或張口困難。

3. 牙周病與口腔健康問題

因為下前牙可能過度接觸上顎牙齦,容易導致牙齦發炎、退縮,甚至影響牙周健康。

矯正前

矯正後

矯正前(正面)

矯正後(正面)

矯正前(側面)

矯正後(側面)

矯正前(上側)

矯正後(上側)

矯正前(下側)

矯正後(下側)

更多案例