All on 4全口重建

All on 4 full mouth rehabilitation

All on 4是什麼 ?

All on 4 全口重建是一種新型的大範圍缺牙治療方式,透過在單顎植入 4 顆特殊設計的人工植體,利用斜張橋的力學原理支撐並固定整排假牙,減少了傳統全口植牙需多次補骨的繁瑣過程,使患者能在一天之內恢復口腔功能和美觀。

All on 4適合對象

  • 多顆缺牙或全口無牙的患者
  • 使用活動假牙感到不便或有異物感的患者
  • 牙周病嚴重,無法保留現有牙齒的患者
  • 希望尋求快速重建的患者
多顆缺牙的患者
使用活動假牙感到不便的患者

All on 4三大優勢

縮短治療時間

相較於傳統全口植牙需數月療程,All on 4 僅需一天即可完成手術並安裝固定式假牙。

費用較低

與傳統全口植牙需植入 12 顆植體相比,All-on-4 僅需 4 顆植體,且能避開需要補骨的部位,從而節省補骨和部分植體的費用。

術後復原快速

僅需 4 顆植體,手術傷口小,癒合速度快,使患者更快恢復正常咬合和咀嚼功能。

All on 4 流程

01

術前評估

初診時為病患拍攝全口X光和電腦斷層影像,接著醫師依據患者需求制定專屬治療方案,並詳細解說療程、費用、保固與注意事項。

02

資料搜集

手術前兩週,我們會為病患進行3D數位口腔掃描及拍攝口內外照,預先模擬植體和假牙位置。另外,醫師和牙技師會依據患者的五官量身訂做臨時假牙,確保手術當天能舒適配戴。

03

植牙手術

手術日早上,醫師會在每顎植入適合病人所需的植體顆數,全程由專業的麻醉專科醫師協助舒眠治療並進行監控,讓患者在輕鬆、無痛的狀態下完成手術。

04

臨時假牙

手術日下午,醫師會將臨時假牙銜接到植體上並進行微調。剛裝上臨時假牙的前兩週,建議食用流質食物,以免植牙鬆動失敗。

05

正式假牙

手術後 4 至 6 個月,待植體與骨頭完全密合,醫師將製作正式假牙,並根據患者反饋進行最終調整。

06

後續保養

每日餐後及睡前應刷牙,並搭配牙線或沖牙機清潔牙縫。每六個月需回診檢查植體狀況,以保持口腔健康並延長植體的使用年限。

數位化設備輔助手術

在All on X手術進行時,我們會搭配Navident 4D微創動態導航儀輔助手術,即時追蹤和顯示患者口腔內部結構,協助醫師在手術中精確定位植體的位置、角度和深度,避免損傷重要的神經、血管或鼻竇等結構。

全口重建新選擇 All on X

隨著醫療技術和觀念的進步,All on 4 已不再適用於所有患者,為此我們推出了更具客製化的 All on X 療程。All on X 中的「X」代表每位患者所需的植體數量,單顎可靈活選擇 4 至 8 支,我們會根據患者的年齡、飲食習慣及口腔狀況量身訂製,以確保穩定性與持久性,為患者提供更理想的全口重建效果與更長的使用年限。

影響All on X價格的四大因素

All on X 案例分享

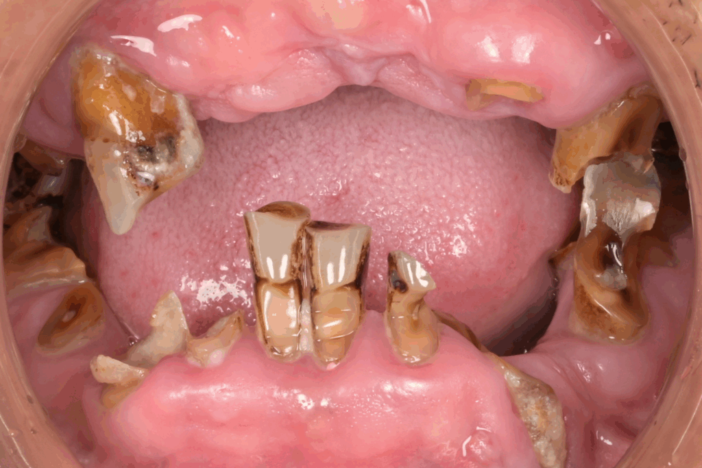
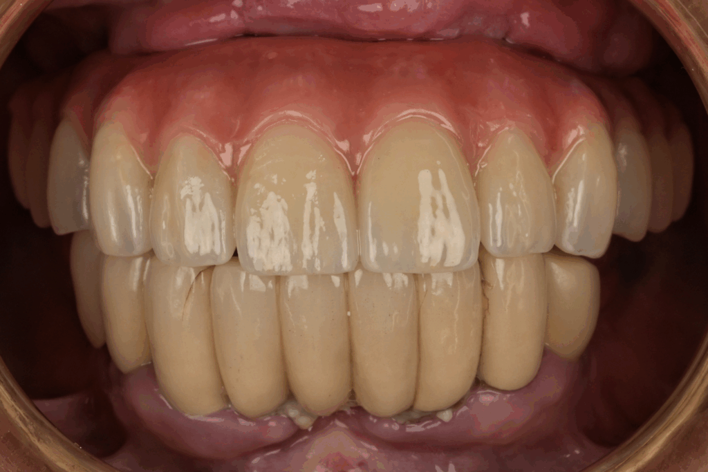
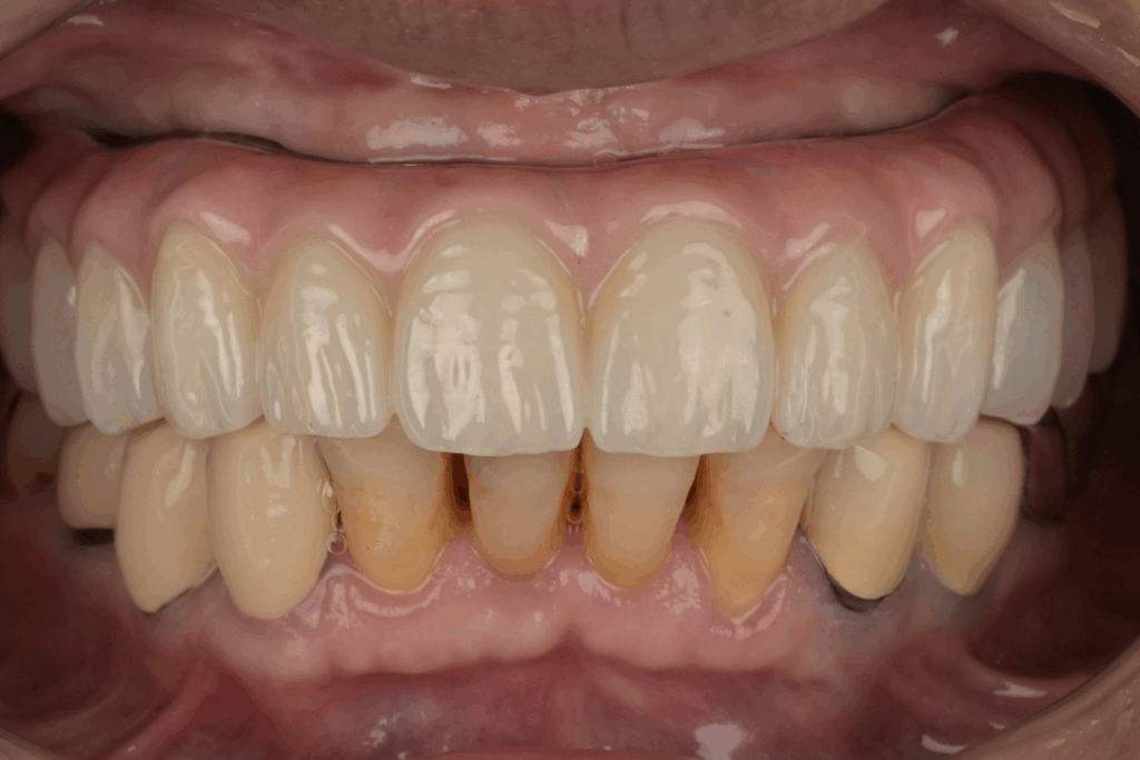
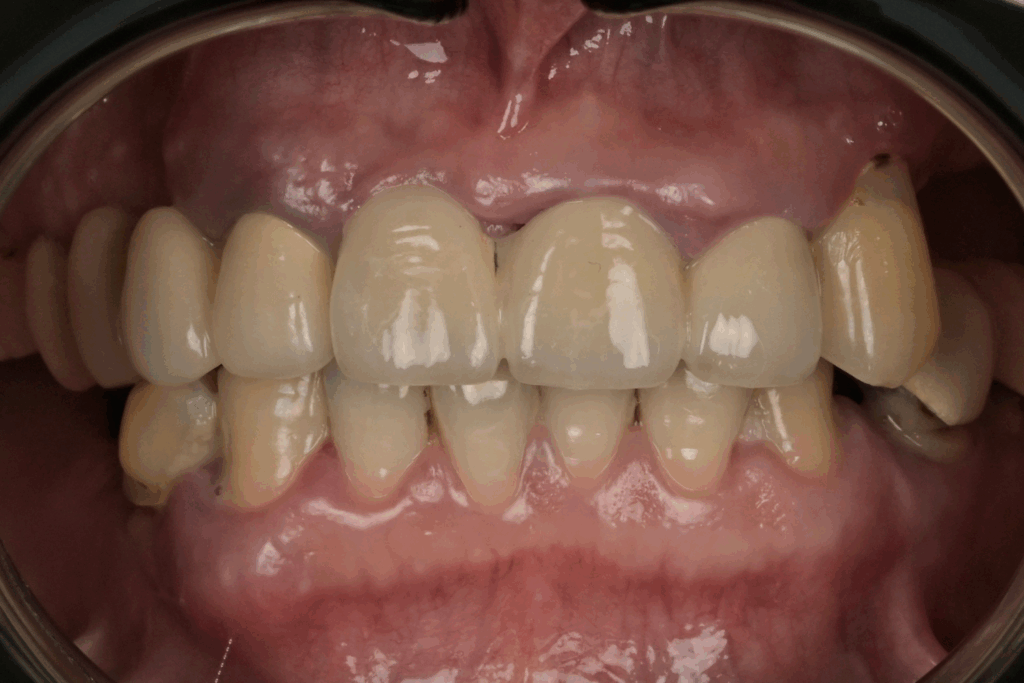
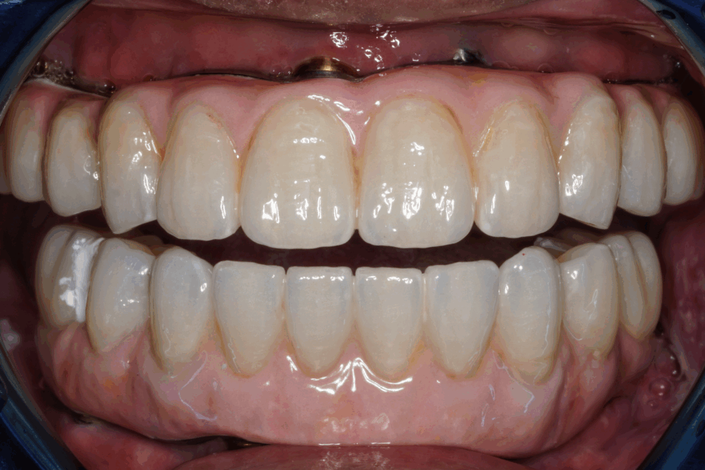
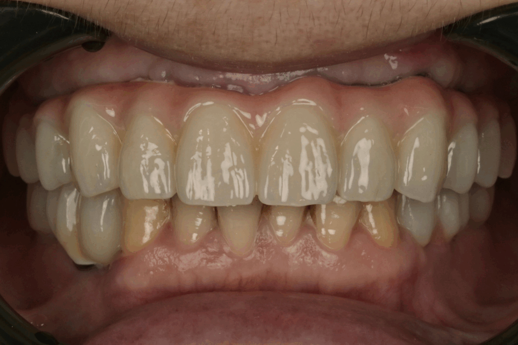
案例1. 上顎+下顎All on X

Before
After

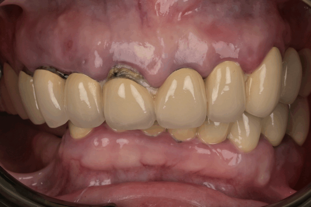
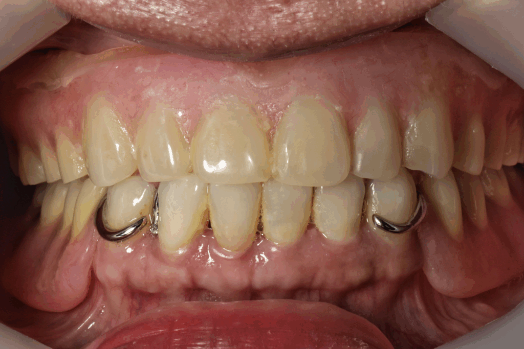
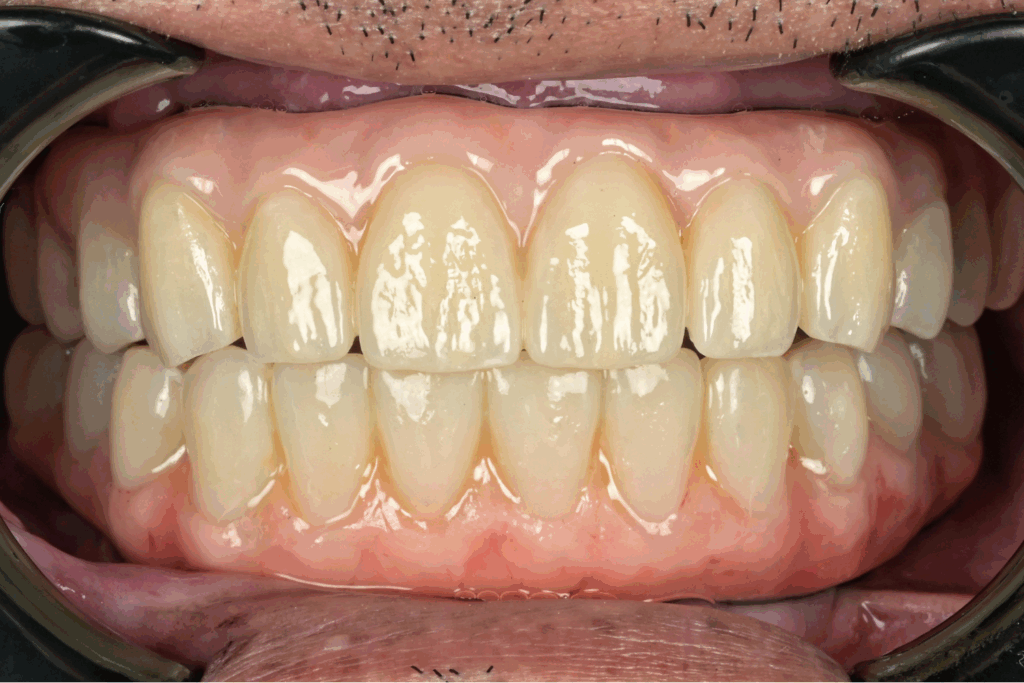
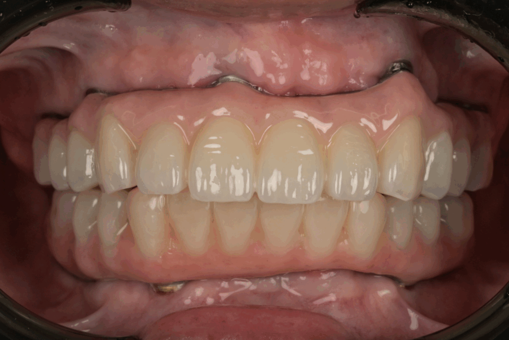
案例2. 上顎+下顎All on X

Before
After

案例3. 上顎+下顎All on X

Before
After

案例4. 上顎All on X

Before
After

案例5. 上顎All on X

Before
After

案例6. 上顎All on X

Before
After

全口重建推薦禾玥牙醫診所

禾玥牙醫診所擁有豐富的植牙經驗,並採用先進的 Navident 微創動態導航儀輔助,確保植體的精準定位與安全性。我們致力於提供安心舒適的全口重建體驗,讓患者恢復正常飲食,重拾自信笑容。立即聯繫我們,瞭解更多 All on 4資訊,邁向全新生活的第一步!
填寫下方諮詢表單,稍後將由專人致電給您!