跳至主要內容
關於我們
環境設備
醫師團隊
服務項目
All on 4全口重建
齒顎矯正專科
顯微根管專科
口腔顎面外科專科
導航微創植牙
舒眠植牙
牙周治療
美學全瓷貼片
全瓷冠/3D 齒雕
牙齒美白
文章專欄
案例分享
關於我們
環境設備
醫師團隊
服務項目
All on 4全口重建
齒顎矯正專科
顯微根管專科
口腔顎面外科專科
導航微創植牙
舒眠植牙
牙周治療
美學全瓷貼片
全瓷冠/3D 齒雕
牙齒美白
文章專欄
案例分享
門診預約
門診預約
關於我們
環境設備
醫師團隊
服務項目
All on 4全口重建
齒顎矯正專科
顯微根管專科
口腔顎面外科專科
導航微創植牙
舒眠植牙
牙周治療
美學全瓷貼片
全瓷冠/3D 齒雕
牙齒美白
文章專欄
案例分享
隱形矯正 | 張明典 醫師
首頁
/
案例分享
/
齒顎矯正
/
隱形矯正 | 張明典 醫師
2024/12/18
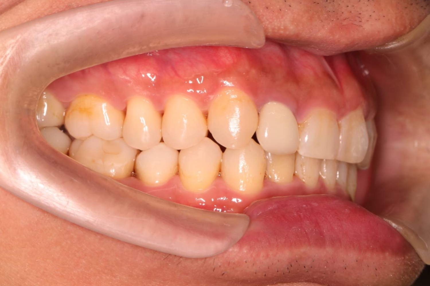
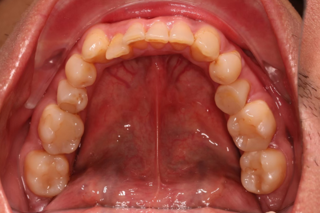
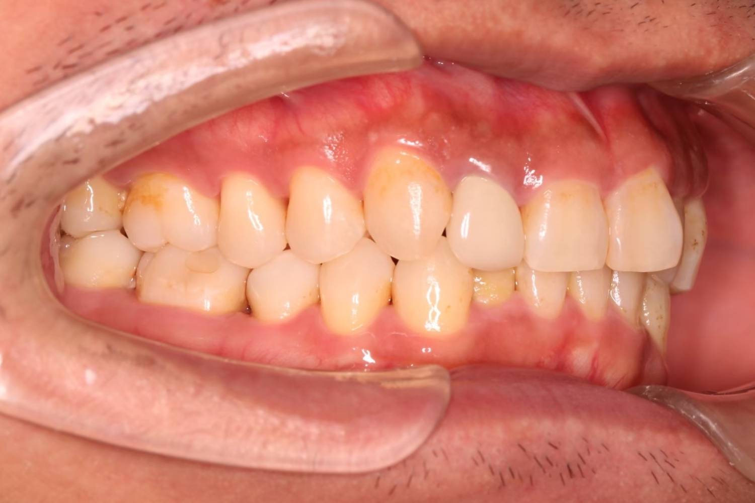
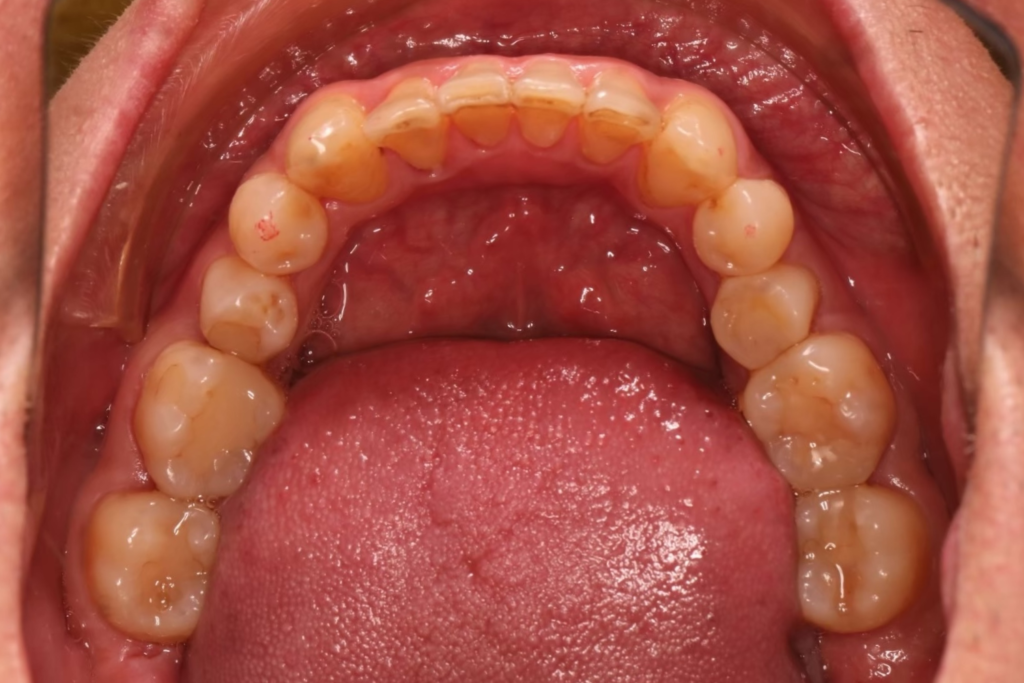
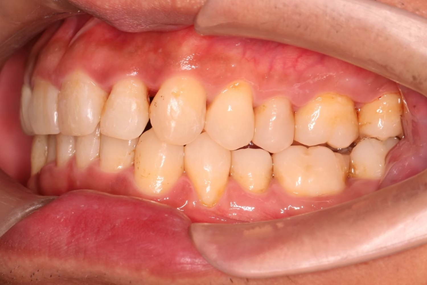
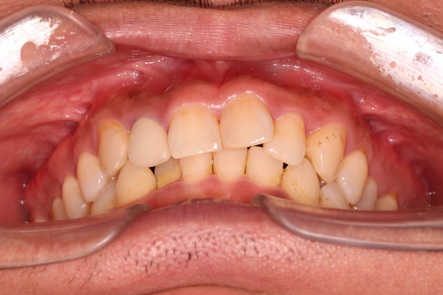
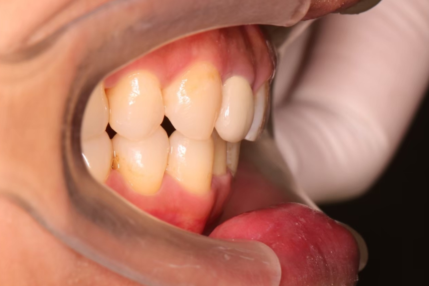
矯正前
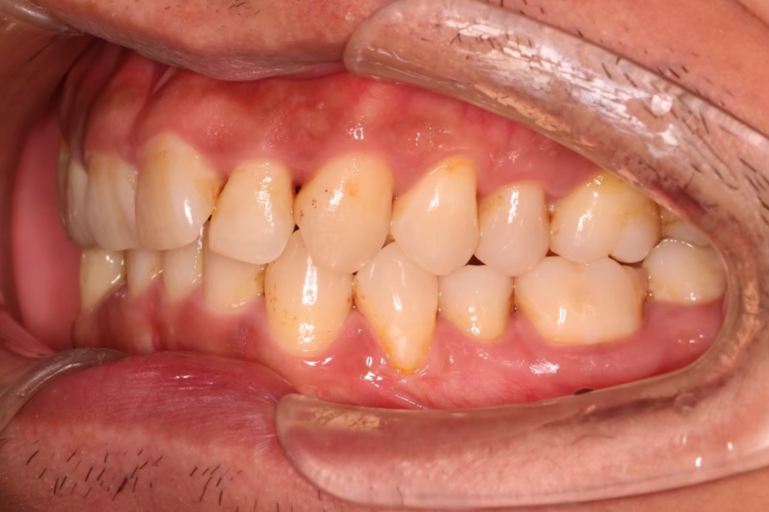
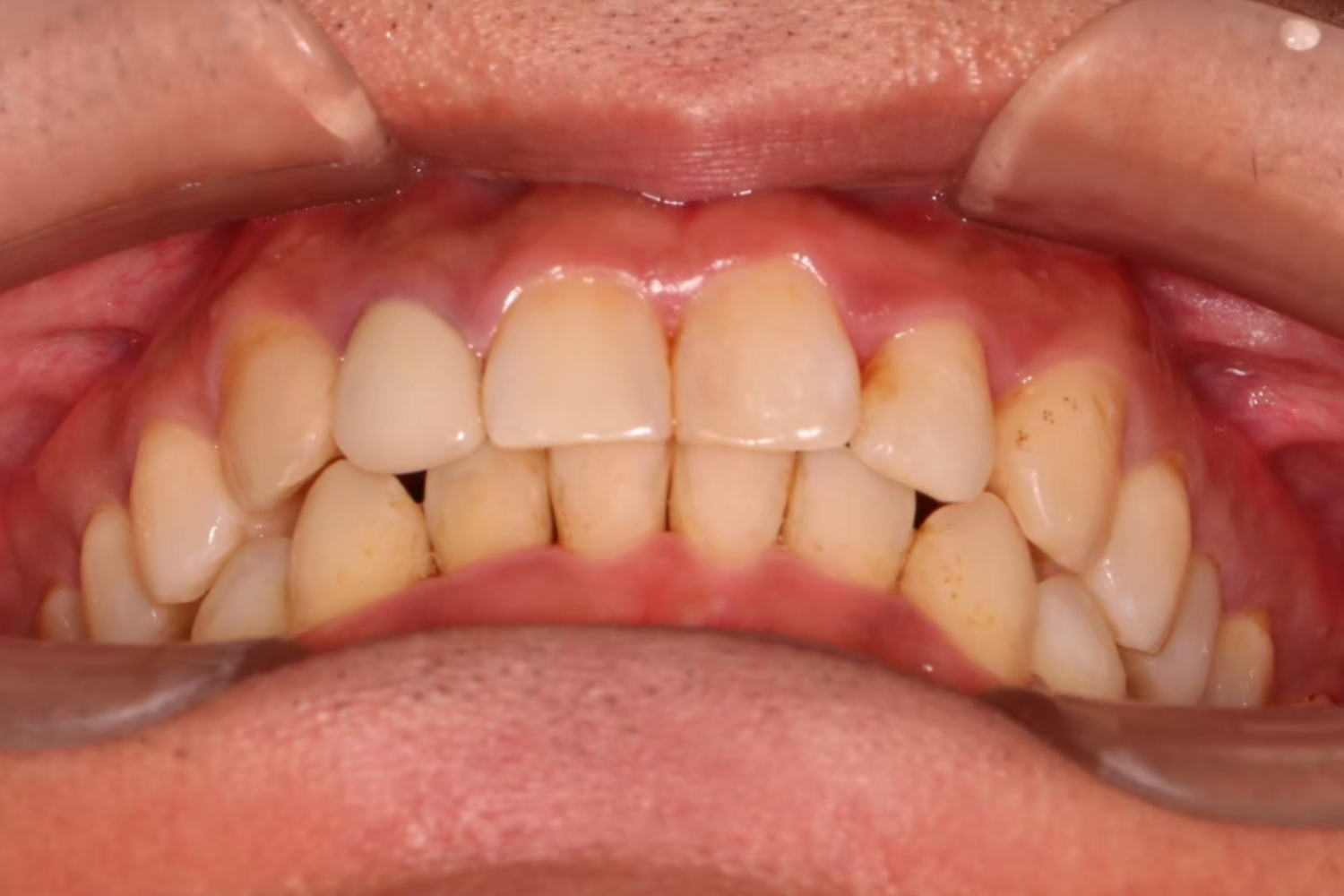
矯正後
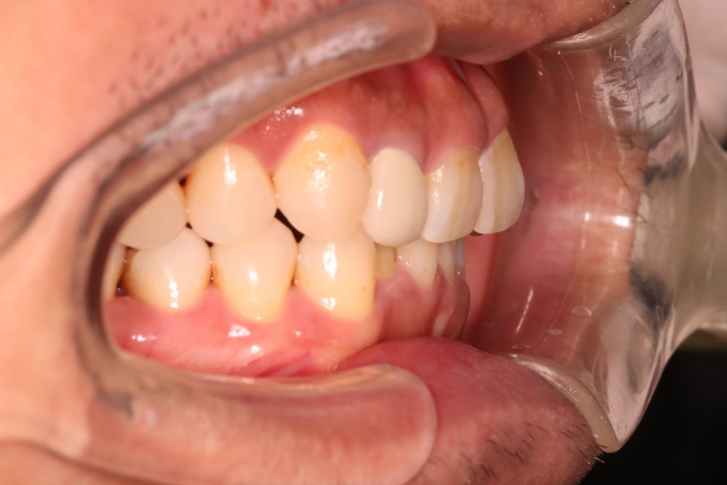
矯正前
矯正後
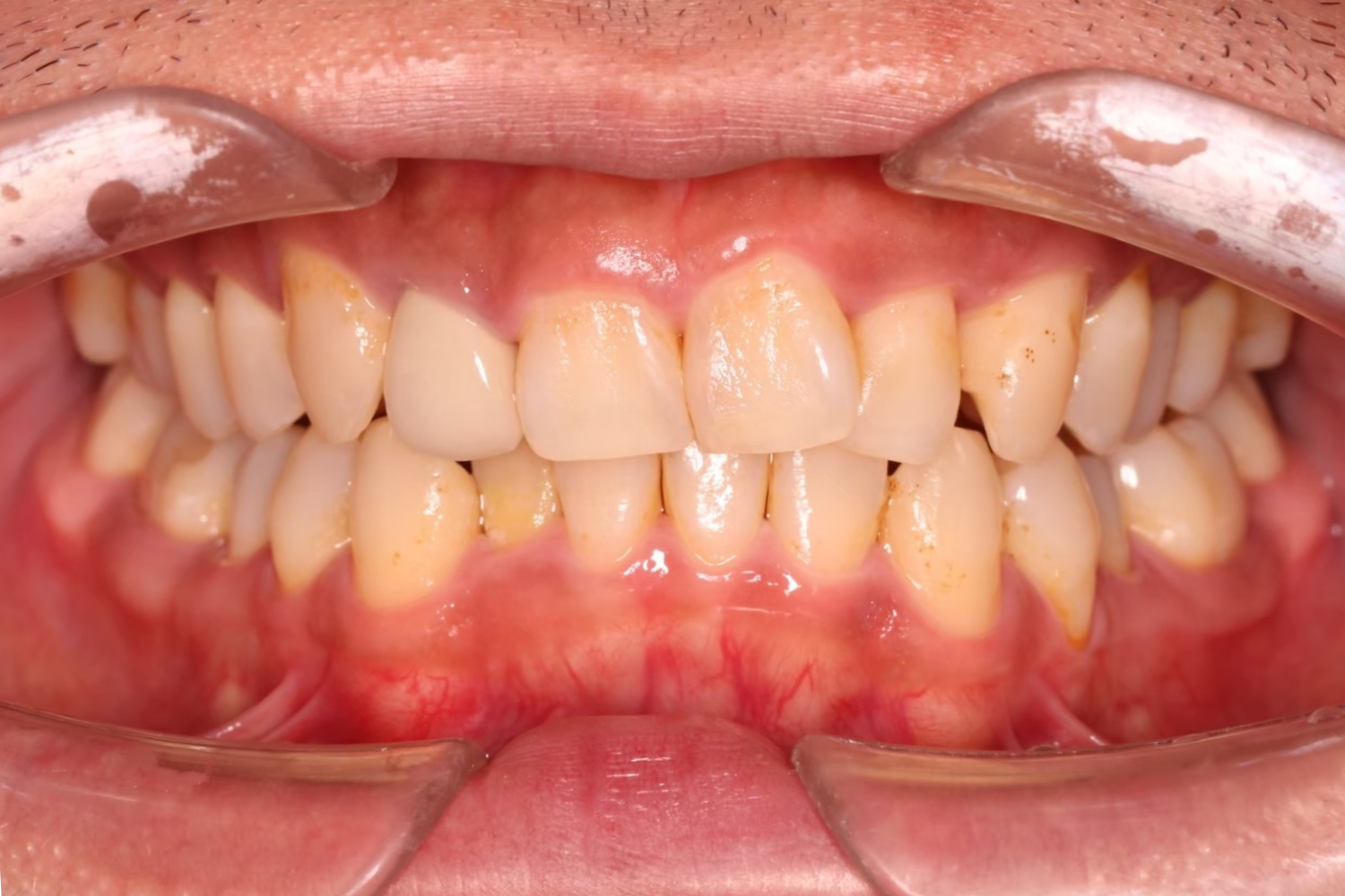
矯正前
矯正後
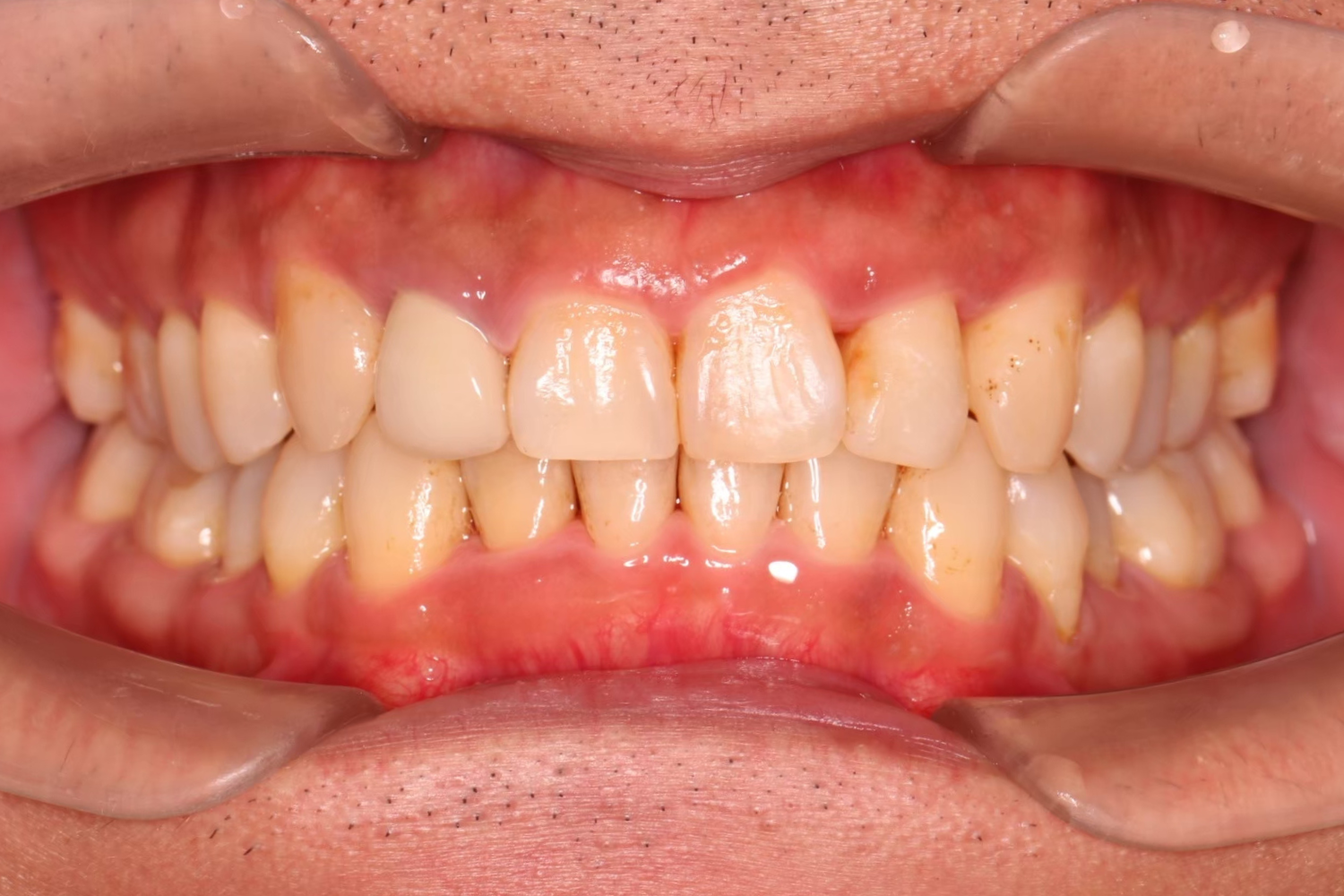
矯正前
矯正後
矯正前
矯正後
矯正前
矯正後
矯正前
矯正後
更多案例
All on X 全口重建 | 郭光哲 醫師
閱讀更多...
All on X 全口重建 | 郭光哲 醫師
閱讀更多...
All on X 全口重建 | 郭光哲 醫師
閱讀更多...