隱適美效果好嗎?適合我嗎?隱適美優點、成功案例分享、常見問題彙整

隱適美效果好嗎?適合我嗎?隱適美優點、成功案例分享、常見問題彙整

首頁 /文章專欄/齒顎矯正/隱適美效果好嗎?適合我嗎?隱適美優點、成功案例分享、常見問題彙整

快速跳轉

你正在考慮用隱適美來做牙齒矯正嗎?究竟隱適美效果好嗎?又適合我嗎?本文就帶你一次帶你了解隱適美的優點、成功案例與常見問題,從牙齒排列到咬合狀況,完整解析隱適美能解決哪些問題。透過深入瞭解隱適美的矯正方式,更清楚評估這樣的矯正方式,是否適合你的喔!

為什麼要做隱適美?適合我嗎?

會選擇隱適美的原因,一般而言與個人動機及生活需求有關;部分人是為了改善牙齒排列與咬合,提升口腔健康;有些人則在意外觀,希望矯正過程不影響專業形象或日常社交;也有曾經矯正後牙齒移位的人,想透過隱適美重新調整等等。

隱適美療程能處理深咬、戽斗、錯咬、牙縫過大、開咬、齒列壅擠等多種齒顎不正問題,適合不同年齡層,只要牙周健康和口腔狀況允許即可使用。

整體來看,只要是在乎自信笑容、生活便利性與清潔維護的人,選擇「隱適美」通常能滿足不同情境下的矯正需求。

隱適美的6大優點

隱適美擁有多項獨特優勢,不僅外觀隱形,過程也相對舒適。以下整理歸納出6大主要優點,讓患者清楚選擇隱適美的好處:

優點(一)、美觀

透明材質、外觀自然、配戴隱形幾乎不會察覺

優點(二)、舒適

專利SmartTrack彈性材質,極度服貼牙齒,減少摩擦與疼痛感

優點(三)、可摘設計、衛生

進食、刷牙、使用牙線都無阻礙,不易藏污納垢,吃飯、刷牙時,也可自行拆下,易於維持口腔衛生

優點(四)、減少回診、療程彈性

每隔4–8週回診,有醫療診所可提供遠端監控矯正進度,適合經常出國或作息不固定者

優點(五)、預知結果

3D數位建模模擬未來齒列,療程設計量身打造

優點(六)、適用年齡層廣、可處理多樣問題

不只美觀改善,連咬合功能、臉型曲線也能一併檢討修正

隱適美2大成功案例分享

禾玥牙醫透過「隱適美」的療程,協助患者完美改善牙齒問題,以下就也讓大家認識不同患者的成功案例,看看他們是如何透過隱適美,改善笑容與齒列的問題,實際感受療程成果與療效。

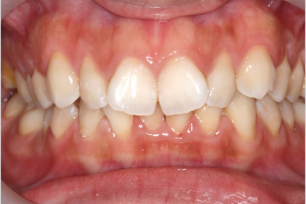
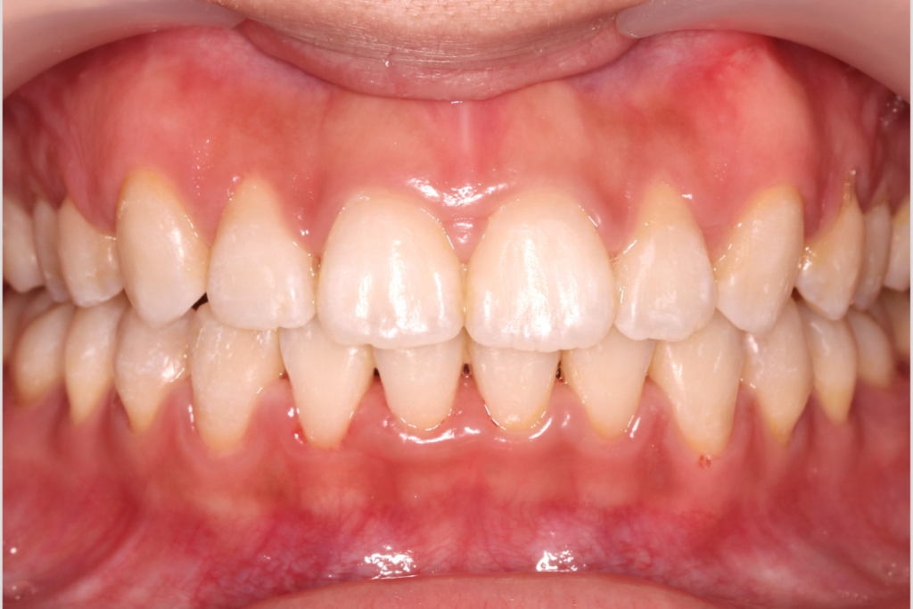
【案例一】深咬與牙齒歪斜的全面改善

Before
After

患者現況:

患者在初診時,主要的困擾是「深咬」與「牙齒排列歪斜」。深咬造成上下牙齒咬合時,幾乎將下排牙齒完全遮蓋,不僅影響日常咀嚼功能,也在外觀上讓笑容顯得不自然。同時,部分牙齒因為空間不足而向內外傾斜,進一步降低了整體齒列的整齊度。

治療過程與成果:

在佩戴隱適美的過程中,逐步調整牙齒角度與位置。經過療程,患者的深咬問題獲得明顯改善,下排牙齒能更自然地展現;齒列也重新排列整齊,讓笑容更具協調感與美觀度。除了外貌的提升,患者在說話表情和飲食咀嚼時,也都感受到更舒適的口腔功能。

【案例二】門牙歪斜與下排齒列不正的矯正調整

Before
After

患者現況:

主要問題在於「門牙歪斜」與「下排牙齒凌亂不齊」。前牙的突出與歪曲讓笑容缺乏對稱感,不僅影響美觀、也使得咬合時產生不便。患者在社交場合時,因對自己的齒列不自信而常常不敢自然展露笑容。

治療過程與成果:

透過一系列循序漸進的矯正過程,門牙逐步回到正確位置,下排牙齒也獲得重新排列;完成療程後,齒列不僅大幅整齊,咬合關係也更穩定,改善了原本的不適感。患者最大的收穫,是不僅擁有更漂亮的笑容,也因微笑自然大方而增添了自信,個人形象整體提升。

為什麼推薦選擇禾玥牙醫?

禾玥牙醫診所,也是許多人在選擇隱適美矯正時信任的推薦牙醫之一。

我們會根據您的牙齒排列、咬合與口腔狀況,提供專業評估,協助判斷您是否適合隱適美療程。

患者需養成自律習慣,每日配戴20至22小時,定期回診檢查與換牙套。在矯正完後,持續依醫師指示配戴維持器以確保長期效果。團隊具備豐富經驗和專業技術,能幫助患者達成理想矯正效果。隱適美因美觀性、舒適度、方便衛生、數位預規劃和療程彈性,受到許多人的青睞;不同方案和價格需依個人口腔狀況評估,建議尋找具有隱適美原廠高等級認證醫師諮詢,以獲得專業、客製化治療方案,讓牙齒變美不再是負擔,獲得自然、健康笑容。

隱適美常見10大問題Q&A

以下提供常見隱適美療程問題資訊,協助更了解隱適美,以利做出適合自己的選擇:

A:一般案例來說隱適美和傳統矯正在牙齒排列與咬合改善的成效相近上成效良好,不過隱適美且外觀更美觀舒適;但部分複雜或嚴重齒顎問題,醫師可能建議搭配輔助治療或使用傳統矯正。

A:隱適美治療通常需時約 126 至 3018 個月,視矯正複雜度而定 。對比而言,傳統牙套或需更長時間,約 18 至 36 個月。

A:換新牙套初期會感覺牙齒緊繃輕微酸軟,通常數天內適應,疼痛感明顯低於傳統金屬牙套。

A:隱適美材質符合美國FDA及台灣食藥署醫材第2等級醫療器材許可
安全醫材第2等級醫療器材許認證,只要孕婦牙周健康,懷孕期間可繼續配戴;若需進行麻醉口腔治療,則需醫師評估。

A:牙周病患者需先接受穩定治療,確保牙周健康後方可開始矯正療程。

A:是的,牙齒矯正完成後必須依醫師指示長期配戴維持器,以防止牙齒回到原本的位置位。

A:配戴牙套期間,建議僅喝白開水;食用其他飲食時應取下牙套,保持牙套與口腔清潔。

A:若牙套密合度不足可先回溯配戴上一副牙套;嚴重者需要回診重作牙套。

A:建議每天配戴20至22小時,依醫師指示定期更換牙套。

A:隱適美為客製化療程,台灣全口隱適美估價範圍的實際費用需依各家診所與矯正複雜度之報價為準。

更多文章

你每天照鏡子時,是不是會在意自己不整齊的牙齒呢? 看著凌亂的牙齒,卻不知道到底該不該做矯正嗎?其實,牙齒凌亂影響的不只是美觀,更可能會影響清潔、咬合及長期的健康,本文就讓專業的牙醫師,告訴你建議做矯正的6大原因,並協助你初步判斷你的牙齒狀況,是否需要進行矯正治療! 牙齒不整齊,一定要做矯正嗎? 當發現自己有牙齒不整齊、排列凌亂或咬合不正的情況時,許多人心中都會浮現同一個疑問:「這樣一定要做牙齒矯正
牙醫診所經常遇到許多人,詢問幾歲做牙齒矯正比較好?牙齒矯正又有沒有年齡限制呢?其實,做矯正的關鍵在於牙齒的健康、骨質狀態與咬合條件,在不同的年齡階段做矯正,會有不同的矯正目標。無論您是想改善美觀,還是調整咬合及關閉牙縫,透過專業的牙醫師完整評估,找到最適合自己的矯正計畫及治療,才能讓牙齒矯正有最佳的效果唷! 哪些年齡階段,適合做牙齒矯正? 其實,做牙齒矯正沒有絕對年齡限制,重點在於口腔健康狀況,大
你想擁有乾淨整齊的牙齒,卻不知道自己是否適合隱形矯正嗎?究竟隱形矯正是什麼?費用多少呢?本篇文章就為愛美的你,完整說明台北隱形矯正的種類、費用及優缺點,讓你可以透過更深入的瞭解隱形矯正的治療方式,是不是符合你的需求及適合你的喔! 隱形矯正是什麼? 隱形矯正是一種現代牙齒矯正技術,利用一系列客製化、可摘卸的透明牙套,逐步將牙齒移動到理想的位置。這些牙套通常由醫療級高分子塑膠製成,其特性是輕薄且具有彈